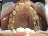
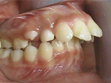
矯正治療
悪い歯並びやかみ合わせは機能性の低下だけでなく、むし歯や歯周病の原因にもなります。悪い歯並びでコンプレックスを抱いてしまい消極的な性格になることも少なくありません。
特に小学校高学年や中学生は敏感です。

矯正治療のメリット
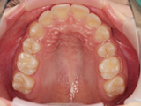
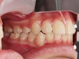
口元に自信が持てるようになった。
歯磨きがしやすくなり、むし歯ができにくくなった。
歯周病の症状がなくなった。口臭がなくなった。
咬み合わせのストレスがなくなり歯ぎしりをしなくなった。
咬む力のバランスがよくなり引き締まった顔立ちになった。
明るく積極的な性格になった。
発音が明瞭になった。
成人向けに 歯周病や顎関節症の改善を目的とした矯正治療や、美容のみを目的とした審美矯正的なアプローチも一般的となってきております。
口元に自信が持てるようになった。
歯磨きがしやすくなり、むし歯ができにくくなった。
歯周病の症状がなくなった。口臭がなくなった。
咬み合わせのストレスがなくなり歯ぎしりをしなくなった。
咬む力のバランスがよくなり引き締まった顔立ちになった。
明るく積極的な性格になった。
発音が明瞭になった。当院では マルチブラケットシステムを用いたトータル的な矯正治療は
もとより、1本単位の部分的な矯正治療(MTM)も行っております。
もとより、1本単位の部分的な矯正治療(MTM)も行っております。












